10 Newly-Defined Molecular Types of Breast Cancer in Nature, and a Dream

The 10 molecular BC categories bear prognostic (survival) information and, based on their distinct mutations and gene expression patterns, potential targets for novel drugs….I wonder if, in a few years, some breast cancers might be treated without surgery.

Posted in Breast Cancer, cancer causes, cancer diagnosis, cancer treatment, Future of Medicine, Oncology (cancer), Pathology, Science, Under the RadarTagged , , , , , , , , , , 3 Comments on 10 Newly-Defined Molecular Types of Breast Cancer in Nature, and a Dream

Cervical Cancer Screening Update: on Pap Smears, Liquid-based Cytology and HPV

The latest issue of the Annals of Internal Medicine contains 2 noteworthy papers on cervical cancer screening. The first, a systematic review of studies commissioned by the USPSTF, looked at 3 methods for evaluating abnormalities in women over 30 years: 1. Conventional cytology (as in a Pap smear; the cervix is scraped and cells splayed […]

Posted in cancer causes, cancer diagnosis, cancer screening, Oncology (cancer), Under the Radar, Women's HealthTagged , , , , , , , , , 2 Comments on Cervical Cancer Screening Update: on Pap Smears, Liquid-based Cytology and HPV

What Is a Cancer Metastasis?

A metastasis refers to a lump of cancer cells that’s physically separated from the original tumor. A metastasis can be local, like when colon cancer spreads to a nearby lymph node in the gut, or distant, as when lung cancer cells generate tumors in the adrenal gland, liver, bone or brain. Sometimes metastases cause serious […]

Posted in cancer diagnosis, language, Oncology (cancer), Tuesday TermTagged , , , , , Leave a Comment on What Is a Cancer Metastasis?

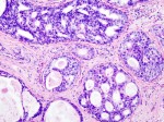
More on DCIS

More, a magazine “for women of style & substance,” has an unusually thorough, now-available article by Nancy F. Smith in its September issue on A Breast Cancer You May Not Need to Treat. The article’s subject is DCIS (Ductal Carcinoma in Situ). This non-invasive, “Stage O” malignancy of the breast has shot up in reported incidence […]

Posted in Breast Cancer, cancer diagnosis, Magazine, Oncology (cancer), PathologyTagged , , , , , , , Leave a Comment on More on DCIS

Two Faces of Pancreatic Cancer

Early this week I was saddened to hear of a former colleague’s death from pancreatic cancer. Dr. Ralph Steinman, a physician-researcher at the Rockefeller University, received a Nobel Prize for his work on the innate immune system. For many, news of Ralph’s death at 68 years arrived synchronously with word of his award. Yesterday we […]

Posted in cancer diagnosis, cancer treatment, Oncology (cancer), Public IllnessTagged , , , , , , Leave a Comment on Two Faces of Pancreatic Cancer
newsletter software