Blood and Hip Surgery: New Study Supports Fewer Transfusions

Under the radar, over the holiday week, the NEJM published a report on transfusion requirements in older adults who surgical hip repair. The main finding is that most patients, including the elderly and those at risk for cardiac complications of the procedure, don’t benefit from getting so many red blood cell transfusions as is commonly […]

Posted in Hematology (blood), Medical News, Under the RadarTagged , , , , , , , , , Leave a Comment on Blood and Hip Surgery: New Study Supports Fewer Transfusions

Gregg Allman Stars in Hepatitis C Awareness Campaign, with Merck

This weekend I learned that Gregg Allman, of the Allman Brothers, has hepatitis C. Not just that; he underwent a liver transplant last year for treatment of liver cancer. This information came my way via CNN, in a clip narrated by Dr. Sanjay Gupta. The cable TV crew filmed the old rocker in Macon, Georgia, […]

Posted in Communication, Hematology (blood), Infectious Disease, Medical News, Music, Public Health, Public Illness, TVTagged , , , , , , , , , , Leave a Comment on Gregg Allman Stars in Hepatitis C Awareness Campaign, with Merck

Dr. Greenfield is Human

A few days ago I read that Dr. Lazar Greenfield, Professor Emeritus at the University of Michigan, resigned as the president-elect of the American College of Surgeons over flak for authoring a Valentine’s Day-pegged, tacky, tasteless and sexist piece in Surgery News. The February issue is mysteriously absent in the pdf-ied archives. According to the […]

Posted in Hematology (blood), Life as a Doctor, Life as a Patient, Medical NewsTagged , , , , , , Leave a Comment on Dr. Greenfield is Human

Thoughts on Geraldine Ferraro, and Myeloma

Like many New Yorkers, feminists?, hematologists and other people, I was saddened to learn yesterday of Geraldine Ferraro‘s death. The Depression-era born mother, attorney, criminal prosecutor, Congresswoman, 1984 Democratic VP-candidate and part-time neighbor to yours truly, succumbed to complications of multiple myeloma at the age of 75. Myeloma is a cancer of plasma cells – […]

Posted in cancer survival, cancer treatment, Hematology (blood), Oncology (cancer), Public IllnessTagged , , , , , , , , 5 Comments on Thoughts on Geraldine Ferraro, and Myeloma

Tennis News and Why a Healthy Young Woman Might Get a Pulmonary Embolism

Yesterday I learned that Serena Williams, the tennis pro, has been treated for a pulmonary embolus. My husband found out this morning upon reading the newspaper. He wondered why this would happen to a strong, young, athletic woman. Without delving into the private or specific aspects of her case: A pulmonary embolism, or PE in […]

Posted in Hematology (blood), Medical News, Public Illness, Women's HealthTagged , , , , , , , 1 Comment on Tennis News and Why a Healthy Young Woman Might Get a Pulmonary Embolism

On the Importance of Giving Blood

The other day I wrote on advances in artificial red blood cells and developing platelets from stem cells. But those methods are in early research phases. Meanwhile, many patients need blood donated by adult humans, now. I have personally benefited from the generosity of blood donors. Some were strangers: In 1974 I received seven units […]

Posted in from the author, Hematology (blood), Public HealthTagged , , , , Leave a Comment on On the Importance of Giving Blood

Notes On a New Kind of Anticoagulant

On the hematology front – Last weekend at the annual meeting of the American Society of Hematology (ASH), researchers presented data on a new kind of blood thinner. Rivaroxaban (Xarelto) is a pill that works by blocking the activated form of human clotting factor X (Xa). The NEJM published the EINSTEIN* findings on-line ahead of […]

Posted in Hematology (blood), Medical News, Under the RadarTagged , , , , , , Leave a Comment on Notes On a New Kind of Anticoagulant

Considering Evidence for a New Drug for Immune Thrombocytopenia Purpura

I’ve been wondering, lately, why so many of the medical blogs cover the same topics, like last week’s lung cancer detection trial, which are often the exact same studies as are reported by conventional news outlets. I’ve been trying, here, to sometimes consider new published articles that seem important to me but, for whatever reasons, don’t get so much attention.

Here’s one:

Yesterday’s NEJM includes an article Romiplostim or Standard of Care in Patients with Immune Thrombocytopenia.* It’s about a drug, manufactured and sold by Amgen as NPlate, that received FDA approval for treatment of chronic immune thrombocytopenia purpura (ITP) in August, 2008. Some consider ITP a rare disease, and

Posted in Diagnosis, Hematology (blood), Under the RadarTagged , , , , , , Leave a Comment on Considering Evidence for a New Drug for Immune Thrombocytopenia Purpura

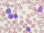
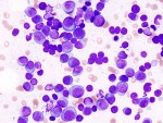
Noting the Death of Jill Clayburgh Who Lived For 21 Years With a Chronic Form of Leukemia

I was saddened yesterday to learn of the death of Jill Clayburgh. The 66 year old actress died on Friday in her Connecticut home. According to ABC news and the LA Times among other reports, she’d had chronic lymphocytic leukemia (CLL) for 21 years. This means she lived with CLL for nearly a third of […]

Posted in Hematology (blood), Medical News, Oncology (cancer), Public IllnessTagged , , , , , 4 Comments on Noting the Death of Jill Clayburgh Who Lived For 21 Years With a Chronic Form of Leukemia
newsletter software