“The Dallas Buyers Club” Takes on AIDS, Peer Patients, and Not Taking “No” for An Answer

Published trials can be flawed. Even if they’re well-analyzed, the findings can be hard to interpret when it comes to a single patient’s course and well-being. What’s a dying man to do?

Posted in Empowered Patient, Essential Lessons, Infectious Disease, Life, Movies, Patient Autonomy, ReviewsTagged , , , , , , , 2 Comments on “The Dallas Buyers Club” Takes on AIDS, Peer Patients, and Not Taking “No” for An Answer

Visiting an Exhibit on Early AIDS at the New York Historical Society

Most doctors didn’t know what was going on. The young men weren’t sure either. There were rumors but also credible denials about a disease affecting the community…

Posted in Exhibits, Infectious Disease, Life in NYC, Medical Education, Medical History, ReviewsTagged , , , , , , , Leave a Comment on Visiting an Exhibit on Early AIDS at the New York Historical Society

NEJM Reports on 2 New Drugs for Hepatitis C

Last week’s NEJM delivered an intriguing, imperfect article on a new approach to treating hepatitis C (HCV). The paper’s careful title, Preliminary Study of Two Antiviral Agents for Hepatitis C Genotype 1, seems right. The analysis, with 17 authors listed, traces the response of 21 people with hepatitis C (HCV) who got two new anti-viral agents, with or […]

Posted in Academic Medicine, clinical trials, Infectious DiseaseTagged , , , , , , , , , 1 Comment on NEJM Reports on 2 New Drugs for Hepatitis C

Magic Johnson is Alive 20 Years after Announcing He Had HIV

Yesterday’s Washington Post Sports has a clip from CNN, 20 years ago, when basketball star Magic Johnson announced on TV that he had HIV, the virus that causes AIDS. The date was Nov 7, 1991. “Where were you when Magic made his announcement? What were your thoughts on Johnson and HIV/AIDS that day and how […]

Posted in Communication, Infectious Disease, Medical History, Medical NewsTagged , , , , , , , Leave a Comment on Magic Johnson is Alive 20 Years after Announcing He Had HIV

Gregg Allman Stars in Hepatitis C Awareness Campaign, with Merck

This weekend I learned that Gregg Allman, of the Allman Brothers, has hepatitis C. Not just that; he underwent a liver transplant last year for treatment of liver cancer. This information came my way via CNN, in a clip narrated by Dr. Sanjay Gupta. The cable TV crew filmed the old rocker in Macon, Georgia, […]

Posted in Communication, Hematology (blood), Infectious Disease, Medical News, Music, Public Health, Public Illness, TVTagged , , , , , , , , , , Leave a Comment on Gregg Allman Stars in Hepatitis C Awareness Campaign, with Merck

Looking Back on ‘The Normal Heart,’ and Patients’ Activisim

They were impatient with the pace of research and physicians’ protocols, and spoke out emphatically about their needs: for more research; for prevention and treatment; for easier access to new drugs; and, simply, for good medical care.

Posted in Empowered Patient, Essential Lessons, Infectious Disease, Life as a Patient, Reviews, TheaterTagged , , , , , , , , , Leave a Comment on Looking Back on ‘The Normal Heart,’ and Patients’ Activisim

Human Milk For Sale, Where’s the FDA?

The June issue of Wired carries a feature on the Booming Market for Human Breast Milk. You can read about the under-the-counter and over-the-Internet sale of “liquid gold” with a typical asking price in the range of $1 to $2.50 an ounce. Here’s a taste, from the article: …“rich, creamy breast milk!” “fresh and fatty!”… […]

Posted in Communication, Infectious Disease, Magazine, Pediatrics, Public HealthTagged , , , , , , , Leave a Comment on Human Milk For Sale, Where’s the FDA?

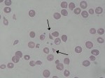
A New E. Coli Outbreak, Hemolytic-Uremic Syndrome, and Eating In or Out

There’s a newly-identified E. coli strain that’s causing a serious illness called hemolytic uremic syndrome (HUS). The recent cases, mainly in northern Europe, have been attributed to eating raw vegetables like cucumbers, lettuce and tomato. So far, authorities aren’t sure of the exact source. Like any stomach bug, these bacteria can cause diarrhea, fever and […]

Posted in Homemaking, Infectious Disease, Medical News, TravelTagged , , , , , Leave a Comment on A New E. Coli Outbreak, Hemolytic-Uremic Syndrome, and Eating In or Out

New Findings on Leprosy and Armadillos

A surprise lesson arrived in my snail mailbox today: the April 28 issue of NEJM includes a fascinating research paper on a probable cause of leprosy in the southern U.S. New, detailed genetic studies show that armadillos, long-known to harbor the disease, carry the same strain as occurs in some patients; they’re a likely culprit […]

Posted in Dermatology, Diagnosis, Genetics, Infectious Disease, Medical Education, Medical NewsTagged , , , , , , , 4 Comments on New Findings on Leprosy and Armadillos

Passover Preparations, and Good Housekeeping

There’s so much medical stuff I’d like to write on today. The thing is, it’s almost Passover. I’ve just got a few hours to finish readying our home for the holiday. And so this will be the topic for today’s ML, on home-making: Part of the Passover preparation is, in my mind, like spring cleaning: […]

Posted in Homemaking, Infectious Disease, Life, Public HealthTagged , , , , Leave a Comment on Passover Preparations, and Good Housekeeping
newsletter software